Scuba Diving & Heart Disease: Risks of Diving After Cardiac Arrest
Chapter 4: Understanding Heart Attacks and How They Affect Your Body
One of the first things I did after being diagnosed with coronary artery disease — and getting scheduled for open-heart surgery — was begin researching exactly what it meant for me. I have a background in diving and emergency medicine, but my experience was in very general terms.
Heart disease wasn’t something I had been directly involved with. I wanted to understand what was going on in my body. Exactly. Of course, that led to searching the web and stumbling across too much information.
As a friend said to me recently after a WebMD search, “Do I have a sore throat or do I have throat cancer?”
“For every minute a person is in cardiac arrest, their chance of survival drops by approximately 10 percent — even with CPR.”

Courtesy Eric DouglasA picture of the heart catheterization that revealed blockages and restrictions in the author's coronary arteries requiring bypass grafts.
Before I was out of the hospital, I knew I would be writing about this process and I immediately set my goal of getting back into the water. I also knew that I was going to have to consult some experts versed in diving medicine to accomplish both goals. At that point, I was pleased to realize that James Caruso, M.D., is also a regular contributor to Scuba Diving magazine. We met briefly several years ago and I’ve read his articles and research for many years. He is highly respected in the field of diving medicine and is known for his ability to explain medical issues so a layman like me can understand them. He agreed to answer my questions with the understanding that I would pass along his thoughts to everyone else. If you find yourself in this same situation, obviously your local cardiologist will be in charge of your care, but consulting a doctor who understands diving is important when it comes to getting back in the water. Divers Alert Network maintains a database of physicians who have been trained in diving medicine.
So I asked Caruso a number of questions related to my experience with heart disease and what it means for scuba divers.
WHAT IS CORONARY ARTERY DISEASE?
“Atherosclerotic cardiovascular disease encompasses not only disease of the coronary arteries but also disease of the peripheral arteries and the arteries that supply blood to major organs such as the brain. The process involves the buildup of atherosclerotic plaque that progressively narrows the lumen (inside portion) of the artery. If the arteries involved are supplying blood to the brain, the person may suffer a stroke. When atherosclerosis affects the arteries of the heart, then a myocardial infarction or even sudden cardiac death may occur. This is commonly known as a heart attack.
“Many names are used to describe the same process. Coronary heart disease, ischemic heart disease, and coronary artery disease are all terms that describe a progressive narrowing of the interior of the arteries resulting in a decreased flow of blood to the heart muscle. A limitation of blood flow means that insufficient oxygen delivery to the cardiac muscle itself will be the result and those deprived areas may be injured (myocardial infarction). Worse yet, the pacemaker cells of the heart are also very dependent on oxygenation and when those areas are not receiving enough blood, a fatal cardiac dysrhythmia may occur (sudden cardiac death).”

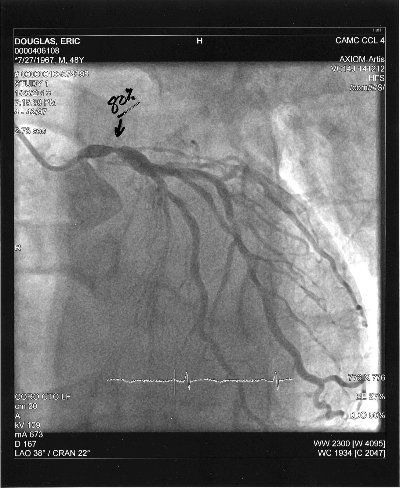
Courtesy Eric DouglasAnother heart catheterization from Douglas: This image shows an 80-percent-blocked artery.
This particular explanation was interesting to me. I had a heart attack, but didn’t realize what was actually happening at the time. I wrote about that in the first Heart Disease and Diving column. It wasn’t until my cardiologist gave me a heart catheterization that I actually knew that I’d had a heart attack. As I understand it, my heart muscle showed some signs of injury, but it wasn’t severe enough that it caused any worry. They had seen worse and felt that once they restored normal blood flow to my heart muscle, it should heal and return to normal function. That was good news for me and diving: I wouldn’t have been able to get back at it if my heart wasn’t pumping at full capacity.
HOW DID IT HAPPEN TO ME?
“Essentially it is a plumbing problem,” Caruso explained. “Atherosclerotic plaque buildup is predominantly a combination of cholesterol buildup on the inside of the blood vessels along with injury to the lining of these blood vessels. There are several risk factors that accelerate this plaque formation such as: cigarette smoking; elevated serum lipid levels such as high cholesterol and high triglycerides; high blood pressure; genetics; increasing age up to a point; and male gender.
“Plaque buildup generally begins in areas of turbulent blood flow such as branch points in the arteries. This actually is quite convenient because that means that coronary artery disease is usually worse near the beginning of the artery where it branches and not near its endpoint. Cardiac surgeons take advantage of this when they perform bypass surgery. You can bypass a blocked artery near its origin, but not further downstream. High blood pressure provides an additional risk. The heart’s response to high blood pressure is to get bigger (like any other muscle pushing against resistance). A larger heart needs more oxygen and the blood has to flow to more tissue. This can really be problematic if there is coronary artery disease restricting blood flow.”
From my experience in the diving-safety community and from writing the Lessons for Life column for the past several years, I know how often “dive fatalities” are actually heart attacks in the water. I was fortunate to be at home when I had my heart attack, but what would have happened if I had been on a boat and away from emergency medical help?
“You are much more likely to survive a heart attack if immediate resuscitation efforts, particularly defibrillation, are employed.”
ARE DIVERS AT GREATER RISK?
“Divers are at no greater risk for coronary artery disease than the average person,” Caruso says. “The fact that we have a somewhat aging diving population means that there are many middle-aged males participating in recreational diving and that is the group at greatest risk. The other problem is that diving frequently takes place in somewhat isolated locations, far from the high-level medical care required to get a person through a potentially fatal ischemic cardiac event. You are much more likely to survive a heart attack if immediate resuscitation efforts, particularly defibrillation, are employed.”
I’ve been writing and teaching about the use of automated external defibrillators (AEDs) on dive boats since 2003. Many liveaboards have opted to purchased them, and even some of the smaller day boats have too. Unfortunately, not all of them have taken that step. Learning CPR is a great skill for divers and it is absolutely important as a first step to save the life of someone in cardiac arrest, but it isn’t a magic bullet.
For every minute a person is in cardiac arrest, their chance of survival drops by approximately 10 percent — even with CPR. After about 10 minutes, the chance that person will regain a pulse is just about non-existent. When you consider the possible delay to providing care by bringing an unconscious diver to the surface and getting his gear off to get him in the boat, the window is very, very small. Having an AED, and a crew trained to use it, on the boat is vitally important. Which brings up the question of risk.
HOW MUCH HIGHER IS MY RISK AFTER HAVING A HEART ATTACK?
“Even in the best of cases, the diver must choose to accept risk. Despite a flawless revascularization and textbook recovery and rehabilitation, the diver with a history of coronary artery disease will always be at a greater than baseline risk of suffering a future cardiac event. Additionally, the diver may be on medications such as blood thinners and blood pressure medications that need to be figured into the cost-benefit equation. For many passionate divers, the small increased risk of having a health problem during a dive is outweighed by the adrenaline rush and extreme pleasure that comes with being in the underwater environment. For others, the risk of having a cardiac event at depth with the resultant high probability of drowning or even having a significant medical problem while on the surface or back in the boat is unacceptable.”
In the fifth installment of this diving and heart disease series, I will discuss the actual exercise capacity required to return to diving, with help from Caruso.
Missed something? Here are the previous installments from Eric Douglas on his road to recovery.
Chapter 1: First Signs of Heart Disease
Chapter 2: What You Learn During the Cardiac Rehab Process
Chapter 3: How to Make Heart-Healthy Changes
Author’s Note:
Since 2009, I’ve written the Lessons for Life column for Scuba Diving magazine providing analysis of scuba diving accidents so others can learn from them — and hopefully avoid being in the same situation.
In the ultimate Lessons for Life, I invite you to follow along as I write about my personal experience with coronary artery disease, open heart surgery and the recovery process over the next few months.
Eric Douglas co-authored the book Scuba Diving Safety and has written a series of adventure novels, children’s books and short stories — all with an ocean and scuba diving theme. Follow him on Facebook or check out his website at booksbyeric.com